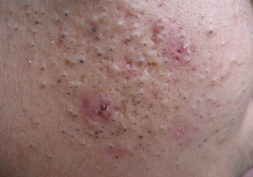
【預防康復】為什么不能用手擠青春痘
對于青春痘,相信很多人的處理方式就是擠出來,但是這種方法確并不正確,這是為什么呢?今天長春膚康醫院的專家們就給大家科普一下為什么不能用手擠青春痘。...【詳細】
- 【預防康復】史泰龍女兒顏值超高"祛痘無痕"
- 【原因】下巴長痘痘是什么原因造成的
預約掛號
- 姓名:
- 性別:
- QQ:
- 電話:
- 年齡:
-
留言:
請如實填寫,以便專家和您聯系 您還可撥打咨詢熱線;0431-88598120





















